2024 Fall Advanced Light Microscopy Class Students Microscopy Image Collection
The micrographs below showcase a variety of plant and animal samples captured by students
in the BI368 Advanced Light Microscopy class. These images were acquired using different
microscopy techniques available at the SMMIC, including brightfield, darkfield, modular
contrast, phase contrast, polarizing, Differential Interference Contrast (DIC), fluorescence,
and confocal laser scanning microscopy. Each technique highlights different structural
or biochemical features of the specimens, demonstrating the power and versatility
of modern light microscopy in biological imaging.

Differential Interference Contrast (DIC) image of Cosmarium by Abigale Glasman’26

Confocal laser scanning microscope image of Penium cell wall (Jim5 label) and chloroplast
by Stuart Malone’26

Bright field light microscopy image of Ctenoid scale by Abigale Glasman’ 26

Water flea under Darkfield microscopy by Gabriel Mahady’24

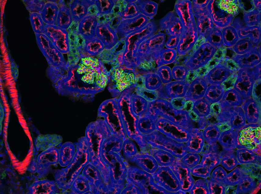
Confocal laser scanning microscopy image of a mouse kidney tissue by Alec Llerena’24

Fluorescent microscopy image of Pediastrum with labeled nuclei by Gabriel Mahady’24

Modular contrast microscopy image of Radiolaria by Stuart Malone’26

Polarized light microscopy image of pear tissue with full wave compensator by Abigale
Glasman’26

Phase contrast microscopy image of Pediastrum by Gabriel Mahady’24

Brightfield light microscopy image of Spirogyra by Gabriel Mahady’24

Salt crystals under darkfield microscope by Stuart Malone’26

Confocal laser scanning microscopy image of sheep muscle tissue with labeled nuclei,
myosin and laminin by Stuart Malone’26

Brightfield microscopy image of dictydium by Sara Goldstein’24

Polarized light microscopy image of potato starch grains by Allison Conwell’24

Polarizing microscopy image of dogfish placoid scales with a full wave compensator
by Abigale Glasman’26

Confocal laser scanning microscope image of human foreskin fibroblast cells by Stuart
Malone’26

Bright field image of ctenoid scale by Sara Goldstein’24

Polarizing microscopy image of tilia stem by Abigale Glasman’ 26